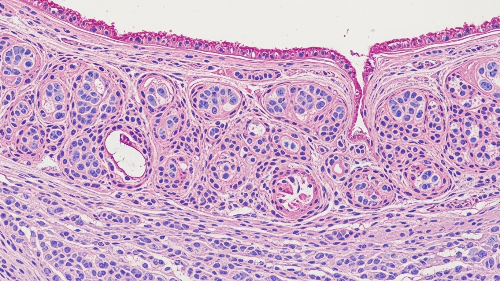
탈모 진행 과정에서 나타나는 모낭 섬유화와 영구 소실의 의미
탈모는 흔히 머리카락이 빠지는 현상으로 이해되지만, 의학적으로는 모낭(hair follicle)의 구조와 기능이 점진적으로 변화하는 과정을 의미한다. 특히 탈모가 일정 단계 이상 진행되면 모낭 주변 조직에서 섬유화(fibrosis)가 발생하는데, 이는 단순한 기능 저하를 넘어 모낭 구조 자체가 변화하고 소실되는 단계로 이어질 수 있는 중요한 신호로 여겨진다.
모낭 섬유화는 모낭 주변 결합 조직에 콜라겐과 같은 섬유성 단백질이 축적되면서 조직이 점차 단단해지는 현상을 의미한다. 이 과정이 진행되면 모낭의 정상적인 생리 기능이 제한되고, 결국 모낭이 위축되거나 영구적으로 사라지는 단계에 도달할 수 있다. 따라서 탈모의 진행을 이해하기 위해서는 단순히 모발의 탈락 여부가 아니라 모낭 주변 조직에서 일어나는 구조적 변화와 섬유화의 의미를 함께 살펴볼 필요가 있다.
1. 탈모가 시작될 때 모낭에서 나타나는 초기 구조 변화
정상적인 모낭은 성장기, 퇴행기, 휴지기라는 세 단계의 모발 주기를 반복하면서 지속적으로 새로운 모발을 생산한다. 이러한 주기적 활동이 유지되기 위해서는 모낭 주변 조직, 혈관, 줄기세포 환경이 안정적으로 유지되어야 한다.
그러나 탈모가 시작되는 초기 단계에서는 모낭의 성장 주기가 점차 단축되고, 성장기의 지속 기간이 감소하는 변화가 나타난다. 이와 동시에 모낭의 크기가 서서히 줄어드는 모낭 소형화(miniaturization) 현상이 발생한다. 모낭이 작아지면 생산되는 모발 역시 점점 가늘어지고 짧아지며, 외관상으로는 모발 밀도가 감소하는 것처럼 보이게 된다.
이러한 변화는 초기에는 비교적 미세하게 진행되기 때문에 육안으로 쉽게 확인되지는 않는다. 그러나 모낭 내부에서는 이미 세포 활동 감소와 구조적 변화가 시작된 상태이며, 시간이 지나면서 모낭 주변 환경에도 다양한 변형이 나타나게 된다.
2. 모낭 섬유화란 무엇이며 왜 발생하는가
모낭 섬유화는 모낭 주변 결합 조직에서 콜라겐과 같은 섬유성 물질이 과도하게 축적되는 현상을 의미한다. 정상적인 조직에서는 세포와 세포 사이의 기질이 균형을 유지하지만, 특정 자극이 지속되면 섬유성 조직이 점차 증가하면서 조직의 유연성이 감소하게 된다.
탈모가 진행되는 두피에서는 미세한 염증 반응이 반복적으로 발생하는 경우가 많다. 이러한 미세염증은 모낭 주변 조직의 세포 활동을 변화시키며, 결과적으로 섬유아세포의 활동이 증가하여 콜라겐 합성이 촉진될 수 있다. 그 결과 모낭 주변에는 점차 섬유성 조직이 축적되고 조직이 경직되는 변화가 나타난다.
이와 같은 섬유화 과정은 단순히 조직이 단단해지는 현상에 그치지 않는다. 모낭 주변의 조직 구조가 변화하면 혈류 공급과 세포 간 신호 전달에도 영향을 미치게 되며, 이는 결국 모낭의 정상적인 성장 환경을 약화시키는 요인이 될 수 있다.
3. 모낭 소형화와 섬유화가 함께 진행되는 이유
탈모의 대표적인 특징 중 하나는 모낭이 점차 작아지는 모낭 소형화 현상이다. 이 과정에서 모낭은 이전보다 훨씬 작은 크기의 모발을 생산하게 되며, 시간이 지날수록 모발의 굵기와 길이가 감소한다.
모낭 소형화와 섬유화는 서로 독립적인 현상이라기보다는 상호 연관된 변화로 나타나는 경우가 많다. 모낭 주변 조직이 섬유화 되면 조직의 유연성이 감소하고 혈관 및 영양 공급 구조가 제한될 수 있다. 이러한 환경에서는 모낭 세포의 활동이 충분히 유지되기 어렵고, 결과적으로 모낭 자체가 점차 위축되는 경향을 보이게 된다.
또한 섬유화가 진행된 조직에서는 세포 재생과 조직 재구성이 원활하게 이루어지지 않기 때문에, 모낭이 정상적인 크기와 기능을 유지하기 어려운 환경이 형성된다. 이러한 이유로 탈모가 진행될수록 모낭 소형화와 섬유화가 동시에 심화되는 경향이 나타난다.
4. 모낭이 영구적으로 소실되는 단계와 특징
탈모가 장기간 진행되면 일부 모낭은 더 이상 정상적인 구조를 유지하지 못하게 된다. 이 단계에서는 모낭이 위치하던 공간이 점차 결합 조직으로 채워지며, 기존의 모낭 구조가 점차 사라지는 변화가 나타난다.
특히 모낭 입구가 점차 좁아지거나 폐쇄되는 현상이 발생할 수 있으며, 모낭 내부의 세포 구조 역시 소실되는 경우가 있다. 이러한 변화가 일정 수준 이상 진행되면 모낭은 더 이상 모발을 생산할 수 없는 상태에 도달하게 된다.
이 단계의 특징은 단순히 모발이 자라지 않는 것이 아니라 모발을 생성할 수 있는 구조 자체가 사라진다는 점이다. 따라서 모낭이 완전히 소실된 부위에서는 자연적인 모발 재생이 매우 어렵거나 사실상 불가능한 상태가 될 수 있다.
5. 모낭 섬유화가 되돌릴 수 없는 이유
모낭 섬유화가 진행된 상태가 되돌리기 어려운 이유는 조직 변화가 단순한 기능적 문제가 아니라 구조적 변화이기 때문이다.
모낭이 정상적으로 재생되기 위해서는 모낭 줄기세포와 주변 미세환경이 함께 유지되어야 한다. 그러나 섬유화가 진행되면 이러한 세포 환경이 크게 변화하게 된다. 콜라겐이 축적된 조직에서는 세포 이동과 재생 과정이 제한될 수 있으며, 모낭을 구성하던 구조적 공간 자체가 사라질 가능성도 있다.
또한 결합 조직이 모낭 공간을 대체하게 되면 기존의 조직 구조를 다시 복원하는 것이 매우 어려워진다. 이러한 이유로 모낭 섬유화는 탈모 진행에서 비가역적 변화로 이어질 가능성이 높은 단계로 이해되며, 조기 관리와 치료의 중요성이 강조되는 근거가 된다.
6. 결론: 모낭 섬유화는 탈모 진행의 마지막 구조 신호
탈모는 단순히 모발이 빠지는 현상이 아니라 모낭의 구조와 기능이 점진적으로 변화하는 과정이다. 그 과정에서 나타나는 모낭 섬유화는 모낭 주변 조직의 환경이 변화하고 있다는 중요한 신호로 볼 수 있다.
특히 섬유화가 진행되면 모낭 소형화가 심화되고, 결국 모낭 자체가 소실되는 단계로 이어질 수 있다. 이러한 구조적 변화가 발생한 이후에는 모낭의 재생이 매우 어려워질 수 있기 때문에 탈모 관리에서는 초기 단계에서의 관찰과 대응이 무엇보다 중요하다.
따라서 탈모를 단순한 미용적 문제로만 인식하기보다, 모낭 구조의 변화라는 관점에서 이해하고 적절한 시기에 관리하는 것이 장기적인 두피 건강을 유지하는 데 중요한 의미를 가진다.

'탈모' 카테고리의 다른 글
| 34. 케라틴 구조와 모발 물성 변화가 탈모에 미치는 영향 (1) | 2026.03.16 |
|---|---|
| 33. 모발 성장에 관여하는 모낭 줄기세포의 역할과 한계 (1) | 2026.03.15 |
| 31. 모낭 미세환경이 모발 성장에 미치는 영향과 구조적 특징 (0) | 2026.03.13 |
| 30. 현대 의학에서 바라보는 탈모 관리의 종합적 관리법 (0) | 2026.03.13 |
| 29. 탈모와 전신 건강 상태의 상관관계 (0) | 2026.03.12 |